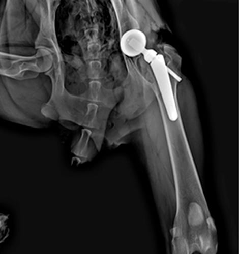
인공고관절 치환술은 골반의 관골구부분과 대퇴골의 머리부분을 인공 이식물로 대체하는 수술방법입니다.
흔히 고관절 이형성, 고관절 탈구, 골절, 퇴행성 관절염 등으로 인해 걷기 힘들고, 통증이 심하거나 일상생활이 어려운 경우 가장 최선의 선택이 THR (인공 고관절 치환술)입니다.
THR 수술은 정형외과에서 고난이도 수술로 인증(certification) 받은 수의사만 실시 할 수 있습니다.

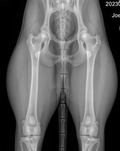
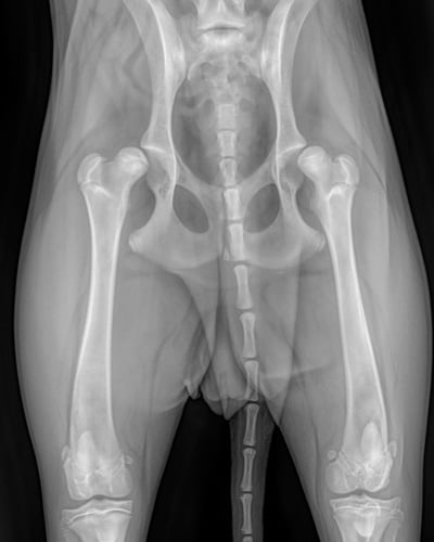
고관절 이형성증은 고관절이 제대로 발달하지 않아 관절의 모양이 비정상적으로 형성되고 관절염이 생기는 질환입니다. 특히 어린 시절에 고관절이 느슨하게 형성된 경우,
시간이 지나며 관절에 과도한 마찰이 생겨 수개월~수년에 걸쳐 관절염이 진행될 수 있습니다. 모든 품종에서 발생할 수 있지만, 특히 대형견에서 흔히 발생합니다.
이 질환은 주로 유전적인 요인으로 인해 발생하며, 관절을 잡아주는 연부조직(인대, 관절낭 등)이 느슨하고, 고관절 주변 근육이 약한 경우, 개가 달리거나 놀 때 대퇴골두가 고관절에서
빠졌다 들어갔다 하게 됩니다. 이 과정에서 연골이 마모되고, 관절이 손상됩니다.
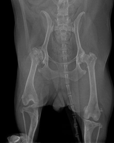
대개 고관절이형성에서 또는 이형성 때문에 생긴 퇴행성 관절염이 있는 환자에서 실시합니다.
통증 원인인 관절염 및 뼈 마찰을 제거하여 통증을 없앰
파행을 보이거나 잘 움직이지 않던 아이들의 움직임이 좋아집니다.
걷거나 뛸 때 엉덩이가 좌우로 흔들리는 걸음걸이
달릴 때 뒷다리를 모아서 깡충 뛰는 동작 (bunny hopping)
뒷다리의 보폭이 짧아짐
한쪽 또는 양쪽 뒷다리의 절뚝거림
소파나 침대 위로 점프를 꺼려함
잠에서 일어난 직후 뻣뻣한 움직임
뒷다리에서 “딸깍” 혹은 “뚝”하는 소리가 들리는 경우
운동을 오래 못하거나 금방 지치는 모습
놀다가 갑자기 울거나 아파하는 반응
엉덩이를 만질 때 통증 호소
“우리 강아지는 좀 덤벙대요”, “걷는 게 좀 어색해요” 같은 증상도 사실은 고관절 이형성증의 초기 경고 신호일 수 있습니다.
기존의 FHNO(대퇴골두목 절제술) (왼쪽사진)과 비교하여 THR(인공 고관절 치환술은)은 해부학적구조와 기능을 회복시켜,
정상에 가까운 보행과 활동성을 기대할 수 있으며 재활의 필요성도 적고, 대형견에서도 좋은 결과를 얻을 수 있습니다.
01사전평가 (x-ray 및 전반 건강상태 평가)
02감염 확인 및 피부상태 체크 (감염을 주의하기 위한 필수 체크입니다.)
03전신마취 하 수술
04수술 후 3~7일간 입원하며 통증관리
056~8주 정도 운동제한을 하며 관리
모든 과정 및 수술은 THR 수술 인증(Certification)을 받은 수의사가 진행합니다.